FASTBRACES® Technology

FASTBRACES® Technology

For Adults

Hearing the words “you need braces” can send some people into a battle of insecurity. You’re trying to be a grown-up, but you feel like a teenager again. When they are wearing adult braces, some people are afraid to speak up during a business meeting or enjoy the adventure of a first date. As frightening as it may be, Fastbraces® Technology could be the fastest, most affordable and best alternative for you and can give you the advantage of a quick, permanent solution.

For Kids

Misaligned teeth or a dysfunctional bite can be a problem for some children. While this can complicate their oral hygiene, the additional pressures of being a kid can affect their day to day mood, attitude and self-confidence. Fortunately, with the Fastbraces® Technology, children can receive quick orthodontic treatment with minimum discomfort.

Call 03 9874 0091 to book an appointment today.

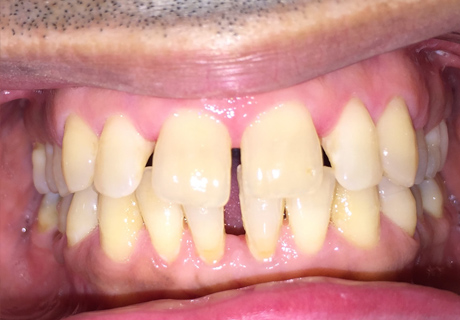
BEFORE
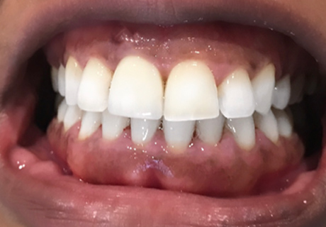
AFTER
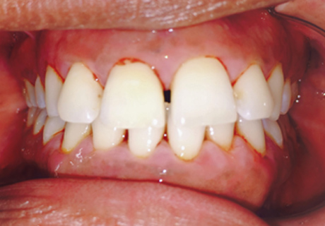
BEFORE
AFTER